相 关 资 讯

脑血管病介入治疗5个病例

撰文:凌锋 病例提供:王伟中


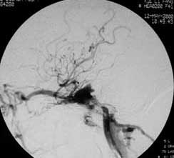
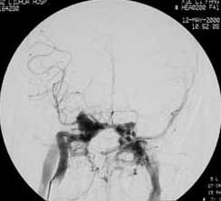
一、颅内动脉瘤

----对颅内动脉瘤的介入治疗主要分为载瘤动脉闭塞和选择性动脉瘤栓塞两种。对于颈内动脉岩部或海绵窦段以及后循环的梭形或宽颈动脉瘤,在代偿试验良好的情况下,可以闭塞载瘤动脉。半年后动脉瘤可逐渐皱缩吸收,明显减少压迫效应。如侧支循环代偿不足,则应先行颅内外动脉架桥。选择性动脉瘤内栓塞主要适用于瘤颈清楚、后循环动脉瘤、多次SAH、HH分级偏高,有血管痉挛或手术风险较大的患者。 近年来,由于显微导管和栓塞材料的可控制研制,使得颅内动脉瘤的血管内栓塞治疗越来越普遍。在欧洲,几乎占所有治疗动脉瘤的80%。栓塞材料主要由Guglielmi等发明的电解脱铂金弹簧圈(GDC)为先导,使动脉瘤的栓塞可以控制释放弹簧圈,进出自由,大大增加了安全性和载瘤动脉的保留。经栓塞后的患者通常2~3天即可出院。尤其对于后循环或巨大动脉瘤等手术难以接近或无法夹闭的动脉瘤,栓塞更是独辟蹊径,是手术治疗盲区的重要补充。

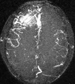
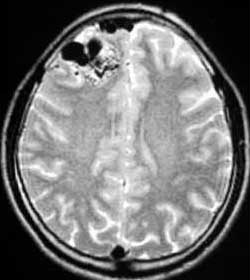
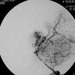
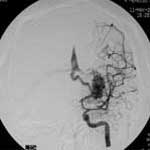
二、脑动静脉畸形(AVM)

---- Spetzler对AVM的分级方法已越来越多地被人们接纳和采用。脑AVM最危险的症状之一是出血。AVM每年的出血率为3%~4%,第一年内再出血约6%。每次出血的致残率为30%,病死率为12.5%,而积极治疗的总残废率加病死率在10%以下。

微外科技术切除或放射外科治疗,是后二者的重要辅助手段。

----立体定向放疗(γ-刀、χ-刀)对AVM是一种有希望的选择性治疗方法。据文献报道,AVM治疗后年消失率30%~50%,2年消失率70%~90%,其消失速度与所用的照射量成正比,与AVM的大小成反比。从治疗到AVM完全闭合之前每年的出血率3%~4%,与自然出血史相同,所以对有出血史的患者,应优先采用栓塞或手术方法。大型AVM经若干次栓塞后体积缩小即可放射治疗。但栓塞物质应是NBCA。其它颗粒或丝线栓塞,均有复发之虞。栓塞加立体定向放疗可使60%~80%的患者免于开颅手术而获治愈。

----目前脑AVM的基础研究也在增多,国内外曾报道利用猪的咽升动脉末端颅底血管网制成AVM动物模型,便于人们研究 AVM的栓塞材料及栓塞前后的血液动力学变化。为练习和获取栓塞材料及研究栓塞后的病例变化提供了广阔的前景。

三、闭塞性脑血管病

----闭塞性脑血管病,如急性脑梗塞引起的偏瘫、颈动脉或椎基底动脉狭窄所致短暂性脑缺血发作(TIA)及可逆性神经功能障碍(RIND),视网膜中央动脉或中央静脉闭塞引起的视力减退,静脉窦血栓性形成引起的颅内压增高等,均可通过血管内的介入治疗得以改善,介入治疗的方法分溶栓、血管成形术或支架置入,根据病变选择不同的治疗方法。

1.血管内溶栓治疗TIA及RIND的适应证为:

(1)血管造影显示血液动力学性狭窄>70%;
(2)SPECT检查示脑细胞CO2反应受损;
(3)药物治疗失败;
(4)伴有不稳定心绞痛,不适合作颈动脉内膜剥脱术者;
(5)颈动脉内膜剥脱术后再狭窄者;
(6)颈动脉放射损伤性狭窄;
(7)颈动脉分叉过高;
(8)长段狭窄。支架放置的适应证比较广,有时完全依术者的习惯而定;

禁忌症:脉管炎的急性期。

2.急性梗塞动脉内接触性溶栓治疗的适应证:

(1)发病6小时内;
(2)CT或MEI检查没有梗塞及出血表现;

血管内栓塞对于单支或少数供血动脉的AVM,特别是新近出血的病例,可以达到微侵袭、痛苦小、疗效迅速的目的。

近来改变栓塞方式,将导管直接放置 畸形血管团内,注射NBCA胶,可使畸形团的解剖 治愈率提高至27%。再加上更细、超滑的微导管问世,栓塞的并发症更为降低。针对大型、功能区 的AVM栓 塞可缩小其体积,改善血液动力学分布,以利于显微外科技术切除或放射外科治疗,是后二者的重要辅助手段。

----立体定向放疗(γ-刀、χ-刀)对AVM是一种有希望的选择性治疗方法。据文献报道,AVM治疗后年消失率30%~50%,2年消失率70%~90%,其消失速度与用的照射量成正比,与AVM的大小成反比。从治疗到AVM完全闭合之前每年的出血率3%~4%,与自然出血史相同,所以对有出血史的患者,应优先采用栓塞或手术方法。大型AVM经若干次栓塞后体积缩小即可放射治疗。但栓塞物质应是NBCA。其它颗粒或丝线栓塞,均有复发之虞。栓塞加立体定向放疗可使60%~80%的患者免于开颅手术而获治愈。

----目前脑AVM的基础研究也在增多,国内外曾报道利用猪的咽升动脉末端颅底血管网制成AVM动物模型,便于人们研究AVM的栓塞材料及栓塞前后的血液动力学变化。为练习和获取栓塞材料及研究栓塞后的病例变化提供了广阔的前景。

三、闭塞性脑血管病

----闭塞性脑血管病,如急性脑梗塞引起的偏瘫、颈动脉或椎基底动脉狭窄所致短暂性脑缺血发作(TIA)及可逆性神经功能障碍(RIND),视网膜中央动脉或中央静脉闭塞引起的视力减退,静脉窦血栓性形成引起的颅内压增高等,均可通过血管内的介入治疗得以改善,介入治疗的方法分溶栓、血管成形术或支架置入,根据病变选择不同的治疗方法。

1.血管内溶栓治疗TIA及RIND的适应症为:

(1)血管造影显示血液动力学性狭窄>70%;
(2)SPECT检查示脑细胞CO2反应受损;
(3)药物治疗失败;
(4)伴有不稳定心绞痛,不适合作颈动脉内膜剥脱术者;
(5)颈动脉内膜剥脱术后再狭窄者;
(6)颈动脉放射损伤性狭窄;
(7)颈动脉分叉过高;
(8)长段狭窄。支架放置的适应证比较广,有时完全依术者的习惯而定;
禁忌症:脉管炎的急性期。

2.急性梗塞动脉内接触性溶栓治疗的适应症:

(1)发病6小时内;
(2)CT或MEI检查没有梗塞及出血表现;
(3)对大脑中动脉卒中者,133XESPECT检查显示CBF残存超过每分钟15ml/100g;
(4)血管造影证实颅内血栓及部位;
(5)基底动脉溶栓可延至发病后48小时。

3.视网膜中央动脉闭塞的动脉内溶栓治疗适应证:

(1)视力突然下降或丧失后6小时内;
(2)超选动脉造影显示视网膜中央动脉闭塞。据北京医院介入神经放射学研究中心的经验,尽管动脉内溶栓在发病后超过6小时(8-14)实施,术中眼底检查,可视网膜供血情况好转,部分病例溶栓治疗结束时,视力即有改善,还有部分病例术后1个月随访时,视力仍有改善。

4.视网膜中央静闭塞的动脉内溶栓治疗适应证:

(1)视网膜中央静闭塞发病后平均8天(12小-1个月);
(2)眼动脉超选影或眼底荧光造像显示视网膜循环时间明显延长;

5.急性静脉卒颅内静脉窦血栓形成静脉窦内溶栓治疗:

急性脑静脉卒中和颅内静脉窦血栓形成,由于缺乏典型的临床表现与体征,往往被误诊。当MRI显示轻至重度脑水肿,头痛迟钝、颅压在5.33kPa(40mmHg)以内时均是溶栓的适应证。若已有大面积水肿和(或)出血,患者已昏迷,即使窦内溶栓成功,但仍不可避免死亡。

四.硬脑膜动静脉瘘(AVF)

----硬脑膜AVF是一种极复杂的颅内血管病,其分型方法可根据静脉引流的方式为:硬膜窦型、皮层静脉型、硬脑膜窦至皮层静脉型、硬膜下静脉湖型、脊髓静脉型。也可以根据瘘口发生部分为:海绵窦区,横窦乙状窦区、窦汇区、上矢状窦区、颅底区。栓塞治疗方法须根据分型而定,原则上是以永久性栓塞剂闭塞瘘口。单纯行瘘口孤立术,既创伤大,又难以彻底解决问题,一支支供血动脉的栓塞,则此起彼伏,诸多侧支循环,十分棘手。通过对引流静脉血液动力学分析,针对静脉窦的”竞争性血流”,可以采取静脉窦闭塞的方法,从根本上解决多发性瘘口,在这方面一系列的血液动力学、影像解剖学以及胚胎学的研究对治疗难治性脑膜动静脉瘘均有重要意义。

五、脊髓血管畸形(SCAVM)

---- SCAVM是一种少见病,平均发病年龄20岁左右,50%以上是患者发生在16岁以前。最常见的症状是蛛网膜下腔出血或脊髓出血。其他神经系统症状如腰痛或根性疼痛占15%-20%,感觉运动障碍33%,并常伴有括约肌功能障碍

----1.脊髓血管畸形的分类,随着DSA、CT、MRI的发展,综合前几种分类方法的优缺点,从治疗的角度(无论是栓塞还是手术),分为椎管内AVM(包括髓内AVM、髓周AVF)、椎体血管及椎旁AVM三类。

---- 2.治疗适应证的选择:随着导管向逐渐变细,软的方向发展,使56.2%的患者可以到达瘘口的前端,则选用栓塞;反之,若供血动脉长而细,导管很难到位,直接手术夹闭瘘口的治率也很高。 硬脊膜AVF治疗仅需要闭塞瘘口而保留静脉引流的通畅。超选择性插管主要靠微导管。如果插管有困难,在准确定位的情况下,直接手术夹闭瘘口也很简单,往往可有迅速恢复的治疗效果。为防止脊髓静脉术后有继发性血栓形成、症状加重的可能,术后24小时或栓塞可减少大部分血运,减少椎管内静脉高压,手术则有效地去除占位效应。

---- 3.栓塞治疗的要点:对于SCAVM的栓塞,主要应用的栓塞剂为:(1)氰基丙烯酸正丁酯(NBCA):得益于显微导管、导丝的发展,选择性插管可达到畸形血管团或瘘口近端,注射微量NBCA,解剖治愈AVM,防止复发。(2)球囊或微弹簧圈:对于高血流的AVM及AVM较安全有效。(3)不可吸收性固体栓子:如聚乙烯醇、干燥硬膜、微球等,主要依靠血流导向,这样的方法安全、简便,但准确性校差,复发率高。

----使用固体栓子还应注意:

(1)栓子的大小不能小于100um,因为脊髓动脉在到达畸形团之前,还发出许多直径在75--100um的沟联合动脉供应脊髓实质,造影时不能显影。小于100um的栓子在到达畸形团之前就已进入了沟联合动脉,阻断了脊髓实质供血。从造影片上看,脊髓动脉保留良好,但脊髓已处于严重缺血状态,患者的症状则加重或不可恢复。
(2)选用安全的栓塞途径:如同时有脊髓前、后动脉供血,则首选脊髓后动脉。
(3)栓塞应分次进行,不能企图一次将所有的畸形血管团全部解决,因为栓塞后常伴有继发血栓形成,要留有余地。

相关专题:

© 版权所有 北京瞬康医用胶有限公司 2003-11-5